Cell Signaling Technology Logo - Extra Large
Recombinant Flag
Recombinant: Superior lot-to-lot consistency, continuous supply, and animal-free manufacturing.

Phospho-Met (Tyr1234/1235) (D26) Rabbit Monoclonal Antibody (BSA and Azide Free) #98954

Filter:
  • WB
  • IHC
  • IF
  • F
  • ELISA+

    Product Specifications

    REACTIVITY H M R
    SENSITIVITY Endogenous
    MW (kDa) 145
    Source/Isotype Rabbit IgG
    Application Key:
    • WB-Western Blotting 
    • IHC-Immunohistochemistry 
    • IF-Immunofluorescence 
    • F-Flow Cytometry 
    • ELISA+-ELISA and/or ELISA-like Assays 
    Species Cross-Reactivity Key:
    • H-Human 
    • M-Mouse 
    • R-Rat 

    Product Information

    Product Usage Information

    This product is the carrier free version of product #3077. All data were generated using the same antibody clone in the standard formulation which contains BSA and glycerol.

    This formulation is ideal for use with technologies requiring specialized or custom antibody labeling, including fluorophores, metals, lanthanides, and oligonucleotides. It is not recommended for ChIP, ChIP-seq, CUT&RUN or CUT&Tag assays. If you require a carrier free formulation for chromatin profiling, please contact us. Optimal dilutions/concentrations should be determined by the end user.

    BSA and Azide Free antibodies are quality control tested by size exclusion chromatography (SEC) to determine antibody integrity.

    Formulation

    Supplied in 1X PBS (10 mM Na2HPO4, 3 mM KCl, 2 mM KH2PO4, and 140 mM NaCl (pH 7.8)). BSA and Azide Free.

    For standard formulation of this product see product #3077

    Storage

    Store at -20°C. This product will freeze at -20°C so it is recommended to aliquot into single-use vials to avoid multiple freeze/thaw cycles. A slight precipitate may be present and can be dissolved by gently vortexing. This will not interfere with antibody performance.

    Specificity / Sensitivity

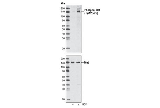
    Phospho-Met (Tyr1234/1235) (D26) Rabbit Monoclonal Antibody (BSA and Azide Free) detects endogenous levels of Met only when phosphorylated at Tyr1234/1235. This antibody may cross-react with overexpressed tyrosine phosphorylated Src proteins in Western blot. The use of this antibody for IF and F applications are only recommended for cells over expressing phospho-Met (Y1234/1235).

    Species Reactivity:

    Human, Mouse, Rat

    Source / Purification

    Monoclonal antibody is produced by immunizing animals with a synthetic phosphopeptide corresponding to residues surrounding Tyr1234/1235 of human Met.

    Background

    Met, a high affinity tyrosine kinase receptor for hepatocyte growth factor (HGF, also known as scatter factor) is a disulfide-linked heterodimer made of 45 kDa α- and 145 kDa β-subunits (1,2). The α-subunit and the amino-terminal region of the β-subunit form the extracellular domain. The remainder of the β-chain spans the plasma membrane and contains a cytoplasmic region with tyrosine kinase activity. Interaction of Met with HGF results in autophosphorylation at multiple tyrosines, which recruit several downstream signaling components, including Gab1, c-Cbl, and PI3 kinase (3). These fundamental events are important for all of the biological functions involving Met kinase activity. The addition of a phosphate at cytoplasmic Tyr1003 is essential for Met protein ubiquitination and degradation (4). Phosphorylation at Tyr1234/1235 in the Met kinase domain is critical for kinase activation. Phosphorylation at Tyr1349 in the Met cytoplasmic domain provides a direct binding site for Gab1 (5). Research studies have shown that altered Met levels and/or tyrosine kinase activities are found in several types of tumors, including renal, colon, and breast. Thus, investigators have concluded that Met is an attractive potential cancer therapeutic and diagnostic target (6,7).

    Alternate Names

    AUTS9; c-Met; DFNB97; Hepatocyte growth factor receptor; HGF receptor; HGF/SF receptor; HGFR; MET; met proto-oncogene (hepatocyte growth factor receptor); met proto-oncogene tyrosine kinase; MET proto-oncogene, receptor tyrosine kinase; oncogene MET; Proto-oncogene c-Met; RCCP2; Scatter factor receptor; SF receptor; Tyrosine-protein kinase Met

    For Research Use Only. Not for Use in Diagnostic Procedures.
    Cell Signaling Technology is a trademark of Cell Signaling Technology, Inc.
    All other trademarks are the property of their respective owners. Visit our Trademark Information page.