Cell Signaling Technology Logo - Extra Large
1% for the planet logo

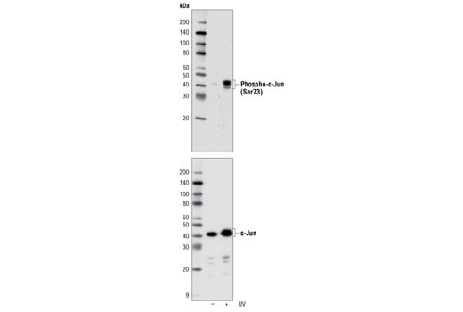
c-Jun Control Cell Extracts #9263

Filter:
  • WB

    Product Information

    Product Usage Information

    Boil for 3 minutes prior to use. Load 15 µl of phosphorylated and nonphosphorylated c-Jun Control Cell Extracts per lane.

    Storage

    Supplied in SDS Sample Buffer: 62.5 mM Tris-HCl (pH 6.8 at 25°C), 2% w/v SDS, 10% glycerol, 50 mM DTT, 0.01% w/v phenol red or bromophenol blue. Store at –20°C or at –80°C for long term storage.

    Product Description

    Nonphosphorylated c-Jun Control Cell Extracts: Total cell extracts from NIH/3T3 cells, serve as a negative control. Supplied in SDS Sample Buffer.

    Phosphorylated c-Jun Control Cell Extracts: Total cell extracts from NIH/3T3 cells, treated with 50 mJ UV light and a 30 minute recovery, serve as a positive control. Supplied in SDS Sample Buffer.

    Background

    c-Jun is a member of the Jun family containing c-Jun, JunB, and JunD, and is a component of the transcription factor activator protein-1 (AP-1). AP-1 is composed of dimers of Fos, Jun, and ATF family members and binds to and activates transcription at TRE/AP-1 elements (reviewed in 1). Extracellular signals, including growth factors, chemokines, and stress, activate AP-1-dependent transcription. The transcriptional activity of c-Jun is regulated by phosphorylation at Ser63 and Ser73 through SAPK/JNK (reviewed in 2). Knockout studies in mice have shown that c-Jun is essential for embryogenesis (3), and subsequent studies have demonstrated roles for c-Jun in various tissues and developmental processes, including axon regeneration (4), liver regeneration (5), and T cell development (6). AP-1 regulated genes exert diverse biological functions, including cell proliferation, differentiation, and apoptosis, as well as transformation, invasion and metastasis, depending on cell type and context (7-9). Other target genes regulate survival, as well as hypoxia and angiogenesis (8,10). Research studies have implicated c-Jun as a promising therapeutic target for cancer, vascular remodeling, acute inflammation, and rheumatoid arthritis (11,12).
    For Research Use Only. Not for Use in Diagnostic Procedures.
    Cell Signaling Technology is a trademark of Cell Signaling Technology, Inc.
    All other trademarks are the property of their respective owners. Visit our Trademark Information page.