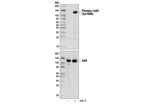
Phospho-Jak2 (Tyr1008) (D4A8) Rabbit Monoclonal Antibody #8082
- WB
Product Specifications
| REACTIVITY | H M |
| SENSITIVITY | Endogenous |
| MW (kDa) | 125 |
| Source/Isotype | Rabbit IgG |
Application Key:
- WB-Western Blotting
Species Cross-Reactivity Key:
- H-Human
- M-Mouse
Product Information
Product Usage Information
| Application | Dilution |
|---|---|
| Western Blotting | 1:1000 |
| Fluorescent Western | 1:1000 |
Storage
Protocol
Specificity / Sensitivity
Species Reactivity:
The antigen sequence used to produce this antibody shares 100% sequence homology with the species listed here, but reactivity has not been tested or confirmed to work by CST. Use of this product with these species is not covered under our Product Performance Guarantee.
Species predicted to react based on 100% sequence homology:
Source / Purification
Background
Jak2 signaling is associated with a number of cytokines, growth factors, and hormones including IL-3, IL-5, IL-6, granulocyte-macrophage colony-stimulating factor (GM-CSF), erythropoietin (EPO), thrombopoietin (TPO) growth hormone, prolactin, and leptin (6-13). The oncogenic potential of Jak2 has been realized though translocations and point mutations resulting in its enhanced, de-regualated kinase activity, making Jak2 a potential therapeutic target. Jak2 gene translocations resulting in fusions with the TEL (TEL-JAK2) and PCM1 (PCM1-JAK2) have been found in leukemia patients (14,15). An activating point mutation in Jak2 resulting in a valine to phenylalanine switch at position 617 (V617F) has been implicated in myeloproliferative disorders including polycythemia vera and essential thrombocythemia (16).
- Leonard, W.J. and O'Shea, J.J. (1998) Annu Rev Immunol 16, 293-322.
- Darnell, J.E. (1997) Science 277, 1630-5.
- VanderKuur, J. et al. (1995) J Biol Chem 270, 7587-93.
- Argetsinger, L.S. et al. (1995) J Biol Chem 270, 14685-92.
- Zhu, T. et al. (1998) J Biol Chem 273, 10682-9.
- Quelle, F.W. et al. (1994) Mol Cell Biol 14, 4335-41.
- Witthuhn, B.A. et al. (1993) Cell 74, 227-36.
- Tortolani, P.J. et al. (1995) Blood 85, 3444-51.
- Pallard, C. et al. (1995) EMBO J 14, 2847-56.
- Narazaki, M. et al. (1994) Proc Natl Acad Sci USA 91, 2285-9.
- Argetsinger, L.S. et al. (1993) Cell 74, 237-44.
- Rui, H. et al. (1994) J Biol Chem 269, 5364-8.
- Ghilardi, N. and Skoda, R.C. (1997) Mol Endocrinol 11, 393-9.
- Lacronique, V. et al. (1997) Science 278, 1309-12.
- Reiter, A. et al. (2005) Cancer Res 65, 2662-7.
- Kralovics, R. et al. (2005) N Engl J Med 352, 1779-90.
Alternate Names
JAK-2; JAK2; Janus kinase 2; Janus kinase 2 (a protein tyrosine kinase); JTK10; Tyrosine-protein kinase JAK2
Limited Uses
Except as otherwise expressly agreed in a writing signed by a legally authorized representative of CST, the following terms apply to Products provided by CST, its affiliates or its distributors. Any Customer's terms and conditions that are in addition to, or different from, those contained herein, unless separately accepted in writing by a legally authorized representative of CST, are rejected and are of no force or effect.
Products are labeled with For Research Use Only or a similar labeling statement and have not been approved, cleared, or licensed by the FDA or other regulatory foreign or domestic entity, for any purpose. Customer shall not use any Product for any diagnostic or therapeutic purpose, or otherwise in any manner that conflicts with its labeling statement. Products sold or licensed by CST are provided for Customer as the end-user and solely for research and development uses. Any use of Product for diagnostic, prophylactic or therapeutic purposes, or any purchase of Product for resale (alone or as a component) or other commercial purpose, requires a separate license from CST. Customer shall (a) not sell, license, loan, donate or otherwise transfer or make available any Product to any third party, whether alone or in combination with other materials, or use the Products to manufacture any commercial products, (b) not copy, modify, reverse engineer, decompile, disassemble or otherwise attempt to discover the underlying structure or technology of the Products, or use the Products for the purpose of developing any products or services that would compete with CST products or services, (c) not alter or remove from the Products any trademarks, trade names, logos, patent or copyright notices or markings, (d) use the Products solely in accordance with CST Product Terms of Sale and any applicable documentation, and (e) comply with any license, terms of service or similar agreement with respect to any third party products or services used by Customer in connection with the Products.