Cell Signaling Technology Logo - Extra Large
Recombinant Flag
Recombinant: Superior lot-to-lot consistency, continuous supply, and animal-free manufacturing.

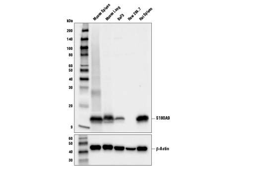
S100A9 (D3U8M) Rabbit Monoclonal Antibody (BSA and Azide Free) #74641

Filter:
  • WB
  • IHC
  • IF
  • F

    Product Specifications

    REACTIVITY M R
    SENSITIVITY Endogenous
    MW (kDa) 14
    Source/Isotype Rabbit IgG
    Application Key:
    • WB-Western Blotting 
    • IHC-Immunohistochemistry 
    • IF-Immunofluorescence 
    • F-Flow Cytometry 
    Species Cross-Reactivity Key:
    • M-Mouse 
    • R-Rat 

    Product Information

    Product Usage Information

    This product is the carrier free version of product #73425. All data were generated using the same antibody clone in the standard formulation which contains BSA and glycerol.

    This formulation is ideal for use with technologies requiring specialized or custom antibody labeling, including fluorophores, metals, lanthanides, and oligonucleotides. It is not recommended for ChIP, ChIP-seq, CUT&RUN or CUT&Tag assays. If you require a carrier free formulation for chromatin profiling, please contact us. Optimal dilutions/concentrations should be determined by the end user.

    BSA and Azide Free antibodies are quality control tested by size exclusion chromatography (SEC) to determine antibody integrity.

    Formulation

    Supplied in 1X PBS (10 mM Na2HPO4, 3 mM KCl, 2 mM KH2PO4, and 140 mM NaCl (pH 7.8)). BSA and Azide Free.

    For standard formulation of this product see product #73425

    Storage

    Store at -20°C. This product will freeze at -20°C so it is recommended to aliquot into single-use vials to avoid multiple freeze/thaw cycles. A slight precipitate may be present and can be dissolved by gently vortexing. This will not interfere with antibody performance.

    Specificity / Sensitivity

    S100A9 (D3U8M) Rabbit Monoclonal Antibody (BSA and Azide Free) recognizes endogenous levels of total S100A9 protein.

    Species Reactivity:

    Mouse, Rat

    Source / Purification

    Monoclonal antibody is produced by immunizing animals with a synthetic peptide corresponding to residues surrounding Asn98 of mouse S100A9 protein.

    Background

    S100A8 and S100A9 are calcium-binding proteins that form a noncovalent heterodimer present in monocytes, neutrophils, macrophages, and some epithelial cells (1,2). S100A8 and S100A9 are secreted by a tubulin-dependent mechanism during inflammatory conditions and have antimicrobial and chemotactic functions (3-5). Extracellular S100A8/S100A9 also induces an inflammatory response in endothelial cells, including induction of proinflammatory chemokines and adhesion molecules and increased vascular permeability (6). S100A8/S100A9 induces and recruits myeloid-derived suppressor cells (MDSC) in tumor-bearing mice (7). MDSC produce additional S100A8/S100A9 themselves, resulting in a positive feedback mechanism that sustains MDSC accumulation (7). S100A8/S100A9 is also highly expressed in psoriatic skin, where it directly upregulates transcription of complement protein C3, which contributes to disease (8). In addition, tumor-infiltrating myeloid cells induce expression of S100A8 and S100A9 in cancer cells, which increases invasiveness and metastasis (9).

    Alternate Names

    60B8A; 60B8Ag; AW546964; BEE22; Cag; Cagb; Calgranulin-B; GAG; GAGB; L1Ag; Leukocyte L1 complex heavy chain; Migration inhibitory factor-related protein 14; MRP; MRP-14; Mrp14; p14; Protein S100-A9; S100 calcium binding protein A9 (calgranulin B); S100 calcium-binding protein A9; S100 calcium-binding protein A9 (calgranulin B); S100a9; S10A9

    For Research Use Only. Not for Use in Diagnostic Procedures.
    Cell Signaling Technology is a trademark of Cell Signaling Technology, Inc.
    Alexa Fluor is a registered trademark of Life Technologies Corporation.
    All other trademarks are the property of their respective owners. Visit our Trademark Information page.