Cell Signaling Technology Logo - Extra Large
Recombinant Flag
Recombinant: Superior lot-to-lot consistency, continuous supply, and animal-free manufacturing.

Phospho-MKK3 (Ser189)/MKK6 (Ser207) (D8E9) Rabbit Monoclonal Antibody (BSA and Azide Free) #73317

Filter:
  • WB
  • IF

    Product Specifications

    REACTIVITY H M R Mk
    SENSITIVITY Endogenous
    MW (kDa) 38 MKK6, 40 MKK3
    Source/Isotype Rabbit IgG
    Application Key:
    • WB-Western Blotting 
    • IF-Immunofluorescence 
    Species Cross-Reactivity Key:
    • H-Human 
    • M-Mouse 
    • R-Rat 
    • Mk-Monkey 

    Product Information

    Product Usage Information

    This product is the carrier free version of product #12280. All data were generated using the same antibody clone in the standard formulation which contains BSA and glycerol.

    This formulation is ideal for use with technologies requiring specialized or custom antibody labeling, including fluorophores, metals, lanthanides, and oligonucleotides. It is not recommended for ChIP, ChIP-seq, CUT&RUN or CUT&Tag assays. If you require a carrier free formulation for chromatin profiling, please contact us. Optimal dilutions/concentrations should be determined by the end user.

    BSA and Azide Free antibodies are quality control tested by size exclusion chromatography (SEC) to determine antibody integrity.

    Formulation

    Supplied in 1X PBS (10 mM Na2HPO4, 3 mM KCl, 2 mM KH2PO4, and 140 mM NaCl (pH 7.8)). BSA and Azide Free.

    For standard formulation of this product see product #12280

    Storage

    Store at -20°C. This product will freeze at -20°C so it is recommended to aliquot into single-use vials to avoid multiple freeze/thaw cycles. A slight precipitate may be present and can be dissolved by gently vortexing. This will not interfere with antibody performance.

    Specificity / Sensitivity

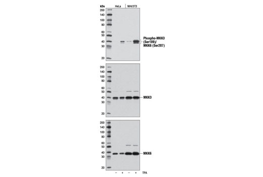
    Phospho-MKK3 (Ser189)/MKK6 (Ser207) (D8E9) Rabbit mAb (BSA and Azide Free) recognizes endogenous levels of MKK3 and MKK6 proteins only when phosphorylated at Ser189 (MKK3) or Ser207 (MKK6).

    Species Reactivity:

    Human, Mouse, Rat, Monkey

    The antigen sequence used to produce this antibody shares 100% sequence homology with the species listed here, but reactivity has not been tested or confirmed to work by CST. Use of this product with these species is not covered under our Product Performance Guarantee.

    Species predicted to react based on 100% sequence homology:

    Zebrafish, Bovine, Guinea Pig

    Source / Purification

    Monoclonal antibody is produced by immunizing animals with a synthetic phosphopeptide corresponding to residues surrounding Ser189 of human MKK3 protein and Ser207 of human MKK6 protein.

    Background

    MKK3 and MKK6 are two closely related dual-specificity protein kinases that activate p38 MAP kinase (1-5). MKK3 and MKK6 both phosphorylate and activate p38 MAP kinase at its activation site, Thr-Gly-Tyr, but do not phosphorylate or activate Erk1/2 or SAPK/JNK. Phosphorylation of p38 MAP kinase dramatically stimulates its ability to phosphorylate protein substrates such as ATF-2 and Elk-1. MKK3 and MKK6 are both activated by different forms of cellular stress and inflammatory cytokines (4,5). Activation of MKK3 and MKK6 occurs through phosphorylation at Ser189 and Thr222 on MKK3 (2) and Ser207 and Thr211 on MKK6 (4,5).

    Alternate Names

    Dual specificity mitogen-activated protein kinase kinase 3; Dual specificity mitogen-activated protein kinase kinase 6; MAP kinase kinase 3; MAP kinase kinase 6; MAP2K3; MAP2K6; MAPK/ERK kinase 3; MAPK/ERK kinase 6; MAPKK 3; MAPKK 6; MAPKK3; MAPKK6; MEK 3; MEK 6; MEK3; MEK6; mitogen-activated protein kinase kinase 3; mitogen-activated protein kinase kinase 6; MKK3; MKK6; MP2K3; MP2K6; PRKMK3; PRKMK6; protein kinase, mitogen-activated, kinase 6 (MAP kinase kinase 6); SAPK kinase 2; SAPK kinase 3; SAPKK-2; SAPKK-3; SAPKK2; SAPKK3; SKK2; SKK3; Stress-activated protein kinase kinase 2; Stress-activated protein kinase kinase 3

    For Research Use Only. Not for Use in Diagnostic Procedures.
    Cell Signaling Technology is a trademark of Cell Signaling Technology, Inc.
    All other trademarks are the property of their respective owners. Visit our Trademark Information page.