Cell Signaling Technology Logo - Extra Large
Recombinant Flag
Recombinant: Superior lot-to-lot consistency, continuous supply, and animal-free manufacturing.

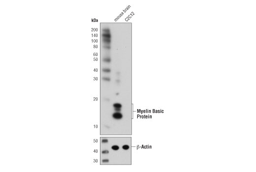
Myelin Basic Protein (D8X4Q) Rabbit Monoclonal Antibody (BSA and Azide Free) #62596

Filter:
  • WB
  • IHC
  • IF

    Product Specifications

    REACTIVITY H M R
    SENSITIVITY Endogenous
    MW (kDa) 12-18
    Source/Isotype Rabbit IgG
    Application Key:
    • WB-Western Blotting 
    • IHC-Immunohistochemistry 
    • IF-Immunofluorescence 
    Species Cross-Reactivity Key:
    • H-Human 
    • M-Mouse 
    • R-Rat 

    Product Information

    Product Usage Information

    This product is the carrier free version of product #78896. All data were generated using the same antibody clone in the standard formulation which contains BSA and glycerol.

    This formulation is ideal for use with technologies requiring specialized or custom antibody labeling, including fluorophores, metals, lanthanides, and oligonucleotides. It is not recommended for ChIP, ChIP-seq, CUT&RUN or CUT&Tag assays. If you require a carrier free formulation for chromatin profiling, please contact us. Optimal dilutions/concentrations should be determined by the end user.

    BSA and Azide Free antibodies are quality control tested by size exclusion chromatography (SEC) to determine antibody integrity.

    Formulation

    Supplied in 1X PBS (10 mM Na2HPO4, 3 mM KCl, 2 mM KH2PO4, and 140 mM NaCl (pH 7.8)). BSA and Azide Free.

    For standard formulation of this product see product #78896

    Storage

    Store at -20°C. This product will freeze at -20°C so it is recommended to aliquot into single-use vials to avoid multiple freeze/thaw cycles. A slight precipitate may be present and can be dissolved by gently vortexing. This will not interfere with antibody performance.

    Specificity / Sensitivity

    Myelin Basic Protein (D8X4Q) Rabbit Monoclonal Antibody (BSA and Azide Free) recognizes endogenous levels of total myelin basic protein.

    Species Reactivity:

    Human, Mouse, Rat

    Source / Purification

    Monoclonal antibody is produced by immunizing animals with a synthetic peptide corresponding to residues surrounding Ala185 of human myelin basic protein.

    Background

    Myelin basic protein (MBP) is an abundant central nervous system (CNS) myelin membrane protein that plays an important role in nerve myelination. Myelin sheaths are multi-layered membranes derived from oligodendrocytes that increase the conduction velocity of axonal impulses. MBP helps to adhere the cytoplasmic leaflets of adjacent oligodendrocyte membranes to one another. Several splice variants of MBP are expressed in cells and the protein is modified following translation (i.e., phosphorylation, methylation), which suggests additional membrane adhesion functions (1).

    Alternate Names

    Golli-MBP; MBP; MGC99675; Myelin A1 protein; Myelin basic protein; Myelin membrane encephalitogenic protein; proline-rich proteoglycan 2

    For Research Use Only. Not for Use in Diagnostic Procedures.
    Cell Signaling Technology is a trademark of Cell Signaling Technology, Inc.
    SignalStain is a registered trademark of Cell Signaling Technology, Inc.
    All other trademarks are the property of their respective owners. Visit our Trademark Information page.