Cell Signaling Technology Logo - Extra Large
1% for the planet logo

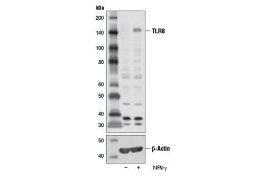
Toll-like Receptor Antibody Sampler Kit II #48697

    Product Information

    Product Description

    The Toll-like Receptor Antibody Sampler Kit II provides an economical means of detecting expression of various Toll-like receptors (TLRs). The kit contains enough primary and secondary antibodies to perform at least two western blot experiments.

    Background

    Members of the Toll-like receptor (TLR) family, named for the closely related Toll receptor in Drosophila, play a pivotal role in innate immune responses (1-4). TLRs recognize conserved motifs found in various pathogens and mediate defense responses (5-7). TLR1, TLR2, TLR4, TLR5, TLR6, and TLR11 are localized to the plasma membrane, while TLR3, TLR7, TLR8, and TLR9 are localized to intracellular membranes including endosomal membranes. Triggering of the TLR pathway leads to the activation of NF-κB and subsequent regulation of immune and inflammatory genes (4). The TLRs and members of the IL-1 receptor family share a conserved stretch of approximately 200 amino acids known as the Toll/Interleukin-1 receptor (TIR) domain (1). Upon activation, TLRs associate with a number of cytoplasmic adaptor proteins containing TIR domains, including myeloid differentiation factor 88 (MyD88), MyD88-adaptor-like/TIR-associated protein (MAL/TIRAP), Toll-receptor-associated activator of interferon (TRIF), and Toll-receptor-associated molecule (TRAM) (8-10). This association leads to the recruitment and activation of IRAK1 and IRAK4, which form a complex with TRAF6 to activate TAK1 and IKK (8,11-14). Activation of IKK leads to the degradation of IκB, which normally maintains NF-κB in an inactive state by sequestering it in the cytoplasm. TLR1 and TLR6 associate with TLR2 to cooperatively mediate response to bacterial lipoproteins and fungal zymosan (6,15). TLR3 is an endosomal TLR that recognizes double-stranded RNA derived from viruses (7). TLR7 and TLR8 recognize single-stranded viral RNA and are also activated by synthetic imidazoquinoline compounds including R-848 (16,17). TLR9 recognizes unmethylated CpG motifs present on bacterial DNA (18).
    1. Akira, S. (2003) J Biol Chem 278, 38105-8.
    2. Beutler, B. (2004) Nature 430, 257-63.
    3. Dunne, A. and O'Neill, L.A. (2003) Sci STKE 2003, re3.
    4. Medzhitov, R. et al. (1997) Nature 388, 394-7.
    5. Schwandner, R. et al. (1999) J Biol Chem 274, 17406-9.
    6. Takeuchi, O. et al. (1999) Immunity 11, 443-51.
    7. Alexopoulou, L. et al. (2001) Nature 413, 732-8.
    8. Zhang, F.X. et al. (1999) J Biol Chem 274, 7611-4.
    9. Horng, T. et al. (2001) Nat Immunol 2, 835-41.
    10. Oshiumi, H. et al. (2003) Nat Immunol 4, 161-7.
    11. Muzio, M. et al. (1997) Science 278, 1612-5.
    12. Wesche, H. et al. (1997) Immunity 7, 837-47.
    13. Suzuki, N. et al. (2002) Nature 416, 750-6.
    14. Irie, T. et al. (2000) FEBS Lett 467, 160-4.
    15. Ozinsky, A. et al. (2000) Proc Natl Acad Sci U S A 97, 13766-71.
    16. Heil, F. et al. (2004) Science 303, 1526-9.
    17. Jurk, M. et al. (2002) Nat Immunol 3, 499.
    18. Hemmi, H. et al. (2000) Nature 408, 740-5.

    Alternate Names

    TLR; toll-like receptor

    For Research Use Only. Not for Use in Diagnostic Procedures.
    Cell Signaling Technology is a trademark of Cell Signaling Technology, Inc.
    XP is a registered trademark of Cell Signaling Technology, Inc.
    All other trademarks are the property of their respective owners. Visit our Trademark Information page.