Cell Signaling Technology Logo - Extra Large

Phospho-PDGF Receptor alpha (Tyr1018) Antibody #4547

Filter:
  • WB

    Product Specifications

    REACTIVITY H M
    SENSITIVITY Endogenous
    MW (kDa) 190
    SOURCE Rabbit
    Application Key:
    • WB-Western Blotting 
    Species Cross-Reactivity Key:
    • H-Human 
    • M-Mouse 

    Product Information

    Product Usage Information

    Application Dilution
    Western Blotting 1:1000

    Storage

    Supplied in 10 mM sodium HEPES (pH 7.5), 150 mM NaCl, 100 µg/ml BSA and 50% glycerol. Store at –20°C. Do not aliquot the antibody.

    Protocol

    Specificity / Sensitivity

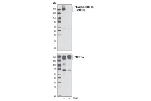
    Phospho-PDGF Receptor alpha (Tyr1018) Antibody detects PDGFRα only when phosphorylated at Tyr1018. This antibody does not cross-react with activated PDGFRβ. But this antibody may cross-react with other tyrosine phosphorylated protein tyrosine kinases including EGF receptor.

    Species Reactivity:

    Human, Mouse

    Source / Purification

    Polyclonal antibodies are produced by immunizing animals with a synthetic phosphopeptide corresponding to residues surrounding Tyr1018 of human PDGFRα. Antibodies are purified by protein A and peptide affinity chromatography.

    Background

    Platelet derived growth factor (PDGF) family proteins exist as several disulphide-bonded, dimeric isoforms (PDGF AA, PDGF AB, PDGF BB, PDGF CC, and PDGF DD) that bind in a specific pattern to two closely related receptor tyrosine kinases, PDGF receptor α (PDGFRα) and PDGF receptor β (PDGFRβ). PDGFRα and PDGFRβ share 75% to 85% sequence homology between their two intracellular kinase domains, while the kinase insert and carboxy-terminal tail regions display a lower level (27% to 28%) of homology (1). PDGFRα homodimers bind all PDGF isoforms except those containing PDGF D. PDGFRβ homodimers bind PDGF BB and DD isoforms, as well as the PDGF AB heterodimer. The heteromeric PDGF receptor α/β binds PDGF B, C, and D homodimers, as well as the PDGF AB heterodimer (2). PDGFRα and PDGFRβ can each form heterodimers with EGFR, which is also activated by PDGF (3). Various cells differ in the total number of receptors present and in the receptor subunit composition, which may account for responsive differences among cell types to PDGF binding (4). Ligand binding induces receptor dimerization and autophosphorylation, followed by binding and activation of cytoplasmic SH2 domain-containing signal transduction molecules, such as GRB2, Src, GAP, PI3 kinase, PLCγ, and NCK. A number of different signaling pathways are initiated by activated PDGF receptors and lead to control of cell growth, actin reorganization, migration, and differentiation (5). Tyr751 in the kinase-insert region of PDGFRβ is the docking site for PI3 kinase (6). Phosphorylated pentapeptides derived from Tyr751 of PDGFRβ (pTyr751-Val-Pro-Met-Leu) inhibit the association of the carboxy-terminal SH2 domain of the p85 subunit of PI3 kinase with PDGFRβ (7). Tyr740 is also required for PDGFRβ-mediated PI3 kinase activation (8).
    Phosphorylation of PDGFRα on Tyr1018 was identified at Cell Signaling Technology (CST) using PhosphoScan®, CST's LC-MS/MS platform for phosphorylation site discovery. For more information visit www.phosphosite.org, CST's expert curated modfication site knowledge base.

    Alternate Names

    Alpha platelet-derived growth factor receptor; Alpha-type platelet-derived growth factor receptor; CD140; CD140 antigen-like family member A; CD140A; CD140a antigen; MGC74795; PDGF-R-alpha; PDGFR alpha; PDGFR-2; PDGFR-alpha; PDGFR2; PDGFRA; PDGFRalpha; PGFRA; platelet derived growth factor receptor alpha; Platelet-derived growth factor alpha receptor; Platelet-derived growth factor receptor 2; Platelet-derived growth factor receptor alpha; platelet-derived growth factor receptor, alpha polypeptide; rearranged-in-hypereosinophilia-platelet derived growth factor receptor alpha fusion protein; RHEPDGFRA

    For Research Use Only. Not for Use in Diagnostic Procedures.
    Cell Signaling Technology is a trademark of Cell Signaling Technology, Inc.
    All other trademarks are the property of their respective owners. Visit our Trademark Information page.