Acetyl-Histone H3 (Lys56) Antibody #4243
- WB
Product Specifications
| REACTIVITY | H M R Mk |
| SENSITIVITY | Endogenous |
| MW (kDa) | 17 |
| SOURCE | Rabbit |
Application Key:
- WB-Western Blotting
Species Cross-Reactivity Key:
- H-Human
- M-Mouse
- R-Rat
- Mk-Monkey
Product Information
Product Usage Information
| Application | Dilution |
|---|---|
| Western Blotting | 1:1000 |
Storage
Protocol
Specificity / Sensitivity
Species Reactivity:
Source / Purification
Background
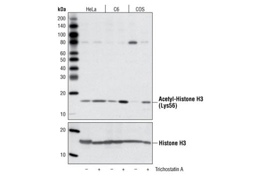
Acetylation of histone H3 on Lys56 is critical for proper packaging of DNA into chromatin during DNA replication and DNA damage repair (12-14). Histone H3 is acetylated on Lys56 by CBP and p300 in response to DNA damage induced by treatment of cells with γ radiation, ultraviolet light, MMS, or hydroxyurea (14). Following DNA damage, chromatin assembly factor 1 protein (CAF-1) incorporates acetylated histones into chromatin at sites of DNA repair (14). The class III histone deacetylases (HDACs) SirT1, SirT2 and SirT6 have been shown to deacetylate histone H3 at Lys56 (14,15); however, treatment of cells with sodium butyrate or trichostatin A also leads to increased acetylation, implicating a class I or class II HDAC as an additional histone H3 Lys56 deacetylase (14). Histone H3 Lys56 acetylation is high in multiple types of cancer, and acetylation levels directly correlate with cellular dedifferentiation and tumorigenicity (14).
- Workman, J.L. and Kingston, R.E. (1998) Annu Rev Biochem 67, 545-79.
- Hansen, J.C. et al. (1998) Biochemistry 37, 17637-41.
- Strahl, B.D. and Allis, C.D. (2000) Nature 403, 41-5.
- Cheung, P. et al. (2000) Cell 103, 263-71.
- Bernstein, B.E. and Schreiber, S.L. (2002) Chem Biol 9, 1167-73.
- Jaskelioff, M. and Peterson, C.L. (2003) Nat Cell Biol 5, 395-9.
- Thorne, A.W. et al. (1990) Eur J Biochem 193, 701-13.
- Hendzel, M.J. et al. (1997) Chromosoma 106, 348-60.
- Goto, H. et al. (1999) J Biol Chem 274, 25543-9.
- Preuss, U. et al. (2003) Nucleic Acids Res 31, 878-85.
- Dai, J. et al. (2005) Genes Dev 19, 472-88.
- Chen, C.C. et al. (2008) Cell 134, 231-43.
- Li, Q. et al. (2008) Cell 134, 244-55.
- Das, C. et al. (2009) Nature 459, 113-7.
- Yang, B. et al. (2009) Cell Cycle 8, 2662-3.
Alternate Names
H3; H3 clustered histone 1; H3 histone family, member A; H3/A; H31; H3C1; H3C10; H3C11; H3C12; H3C2; H3C3; H3C4; H3C6; H3C7; H3C8; H3FA; H3FB; H3FC; H3FC HIST1H3C; H3FD; H3FF; H3FH; H3FI; H3FJ; H3FK; H3FL; HIST1H3A; HIST1H3B; HIST1H3C; HIST1H3D; HIST1H3E; HIST1H3F; HIST1H3G; HIST1H3H; HIST1H3I; HIST1H3J; histone 1, H3a; histone cluster 1 H3 family member a; histone cluster 1, H3a; Histone H3; Histone H3.1; Histone H3/a; Histone H3/b; Histone H3/c; Histone H3/d; Histone H3/f; Histone H3/h; Histone H3/i; Histone H3/j; Histone H3/k; Histone H3/l
Limited Uses
Except as otherwise expressly agreed in a writing signed by a legally authorized representative of CST, the following terms apply to Products provided by CST, its affiliates or its distributors. Any Customer's terms and conditions that are in addition to, or different from, those contained herein, unless separately accepted in writing by a legally authorized representative of CST, are rejected and are of no force or effect.
Products are labeled with For Research Use Only or a similar labeling statement and have not been approved, cleared, or licensed by the FDA or other regulatory foreign or domestic entity, for any purpose. Customer shall not use any Product for any diagnostic or therapeutic purpose, or otherwise in any manner that conflicts with its labeling statement. Products sold or licensed by CST are provided for Customer as the end-user and solely for research and development uses. Any use of Product for diagnostic, prophylactic or therapeutic purposes, or any purchase of Product for resale (alone or as a component) or other commercial purpose, requires a separate license from CST. Customer shall (a) not sell, license, loan, donate or otherwise transfer or make available any Product to any third party, whether alone or in combination with other materials, or use the Products to manufacture any commercial products, (b) not copy, modify, reverse engineer, decompile, disassemble or otherwise attempt to discover the underlying structure or technology of the Products, or use the Products for the purpose of developing any products or services that would compete with CST products or services, (c) not alter or remove from the Products any trademarks, trade names, logos, patent or copyright notices or markings, (d) use the Products solely in accordance with CST Product Terms of Sale and any applicable documentation, and (e) comply with any license, terms of service or similar agreement with respect to any third party products or services used by Customer in connection with the Products.