Cell Signaling Technology Logo - Extra Large

Phospho-p130 Cas (Tyr410) Antibody #4011

Filter:
  • WB
  • IP

    Product Specifications

    REACTIVITY H M R
    SENSITIVITY Endogenous
    MW (kDa) 130
    SOURCE Rabbit
    Application Key:
    • WB-Western Blotting 
    • IP-Immunoprecipitation 
    Species Cross-Reactivity Key:
    • H-Human 
    • M-Mouse 
    • R-Rat 

    Product Information

    Product Usage Information

    Application Dilution
    Western Blotting 1:1000
    Immunoprecipitation 1:50

    Storage

    Supplied in 10 mM sodium HEPES (pH 7.5), 150 mM NaCl, 100 µg/ml BSA and 50% glycerol. Store at –20°C. Do not aliquot the antibody.

    Protocol

    Specificity / Sensitivity

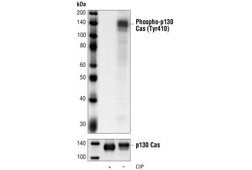
    Phospho-p130 Cas (Tyr410) Antibody detects endogenous levels of p130 Cas only when phosphorylated at tyrosine 410. This antibody may cross-react with other phosphorylated tyrosines in the substrate domain of p130 Cas and paxillin. This antibody may cross-react with phosphorylated PDGFR.

    Species Reactivity:

    Human, Mouse, Rat

    Source / Purification

    Polyclonal antibodies are produced by immunizing animals with a synthetic phosphopeptide corresponding to residues surrounding Tyr410 of human p130 Cas. Antibodies are purified by proteinA and peptide affinity chromatography.

    Background

    p130 Cas (Crk-associated substrate) is a docking protein containing multiple protein-protein interaction domains. The amino-terminal SH3 domain may function as a molecular switch regulating CAS tyrosine phosphorylation, as it interacts with focal adhesion kinase (FAK) (1) and the FAK-related kinase PYK2 (2), as well as the tyrosine phosphatases PTP-1B (3) and PTP-PEST (4). The carboxy-terminal Src binding domain (SBD) contains a proline-rich motif that mediates interaction with the SH3 domains of Src-family kinases (SFKs) and a tyrosine phosphorylation site (Tyr668 and/or Tyr670) that can promote interaction with the SH2 domain of SFKs (5). The p130 Cas central substrate domain, the major region of tyrosine phosphorylation, is characterized by 15 tyrosines present in Tyr-X-X-Pro (YXXP) motifs, including Tyr165, 249, and 410. When phosphorylated, most YXXP motifs are able to serve as docking sites for proteins with SH2 or PTB domains including adaptors, C-Crk, Nck, and inositol 5'-phosphatase 2 (SHIP2) (6). The tyrosine phosphorylation of p130 Cas has been implicated as a key signaling step in integrin control of normal cellular behaviors including motility, proliferation, and survival. Aberrant Cas tyrosine phosphorylation may contribute to cell transformation by certain oncoproteins (5).

    Alternate Names

    BCAR1; BCAR1 scaffold protein, Cas family member; BCAR1, Cas family scaffold protein; BCAR1, Cas family scaffolding protein; breast cancer anti-estrogen resistance 1; Breast cancer anti-estrogen resistance protein 1; CAS; Cas scaffolding protein family member 1; CAS1; CASS1; CRK-associated substrate; Crk-associated substrate p130Cas; CRKAS; FLJ12176; FLJ45059; p130cas

    For Research Use Only. Not for Use in Diagnostic Procedures.
    Cell Signaling Technology is a trademark of Cell Signaling Technology, Inc.
    All other trademarks are the property of their respective owners. Visit our Trademark Information page.