Cell Signaling Technology Logo - Extra Large
Trial Size Available Flag
Recombinant Flag
Recombinant: Superior lot-to-lot consistency, continuous supply, and animal-free manufacturing.

Phospho-PKC (pan) (gamma Thr514) (D6Y3D) Rabbit Monoclonal Antibody #38938

Filter:
  • WB
  • IP

    Product Specifications

    REACTIVITY H M R
    SENSITIVITY Endogenous
    MW (kDa) 78, 80, 82, 85
    Source/Isotype Rabbit IgG
    Application Key:
    • WB-Western Blotting 
    • IP-Immunoprecipitation 
    Species Cross-Reactivity Key:
    • H-Human 
    • M-Mouse 
    • R-Rat 

    Product Information

    Product Usage Information

    Application Dilution
    Western Blotting 1:1000
    Immunoprecipitation 1:50

    Storage

    Supplied in 10 mM sodium HEPES (pH 7.5), 150 mM NaCl, 100 µg/ml BSA, 50% glycerol and less than 0.02% sodium azide. Store at –20°C. Do not aliquot the antibody.

    Protocol

    Specificity / Sensitivity

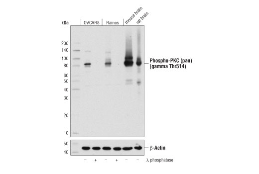
    Phospho-PKC (pan) (gamma Thr514) (D6Y3D) Rabbit Monoclonal Antibody detects endogenous levels of PKC alpha, beta I, beta II, gamma, delta, epsilon, eta, and theta isoforms only when phosphorylated at a residue homologous to Thr514 of human PKC gamma. This antibody does not detect PKC phosphorylated at other sites.

    Species Reactivity:

    Human, Mouse, Rat

    Source / Purification

    Monoclonal antibody is produced by immunizing animals with a synthetic phosphopeptide corresponding to residues surrounding Thr514 of human PKC gamma.

    Background

    Activation of protein kinase C (PKC) is one of the earliest events in a cascade that controls a variety of cellular responses, including secretion, gene expression, proliferation, and muscle contraction (1,2). PKC isoforms belong to three groups based on calcium dependency and activators. Classical PKCs are calcium-dependent via their C2 domains and are activated by phosphatidylserine (PS), diacylglycerol (DAG), and phorbol esters (TPA, PMA) through their cysteine-rich C1 domains. Both novel and atypical PKCs are calcium-independent, but only novel PKCs are activated by PS, DAG, and phorbol esters (3-5). Members of these three PKC groups contain a pseudo-substrate or autoinhibitory domain that binds to substrate-binding sites in the catalytic domain to prevent activation in the absence of cofactors or activators. Control of PKC activity is regulated through three distinct phosphorylation events. Phosphorylation occurs in vivo at Thr500 in the activation loop, at Thr641 through autophosphorylation, and at the carboxy-terminal hydrophobic site Ser660 (2). Atypical PKC isoforms lack hydrophobic region phosphorylation, which correlates with the presence of glutamic acid rather than the serine or threonine residues found in more typical PKC isoforms. The enzyme PDK1 or a close relative is responsible for PKC activation. A recent addition to the PKC superfamily is PKCμ (PKD), which is regulated by DAG and TPA through its C1 domain. PKD is distinguished by the presence of a PH domain and by its unique substrate recognition and Golgi localization (6). PKC-related kinases (PRK) lack the C1 domain and do not respond to DAG or phorbol esters. Phosphatidylinositol lipids activate PRKs, and small Rho-family GTPases bind to the homology region 1 (HR1) to regulate PRK kinase activity (7).

    Alternate Names

    AAG6; aging-associated gene 6; ALPS3; CVID9; KPCA; KPCB; KPCD; KPCE; KPCG; KPCL; KPCT; MAY1; MGC125656; MGC125657; MGC126514; MGC129900; MGC129901; MGC141919; MGC26269; MGC41878; MGC49908; MGC5363; MGC57564; nPKC-delta; nPKC-epsilon; nPKC-eta; nPKC-theta; PKC beta 2; PKC beta II; PKC beta2; PKC theta; PKC-A; PKC-alpha; PKC-B; PKC-beta; PKC-beta II; PKC-beta2; PKC-gamma; PKC-L; PKC-theta; PKCA; PKCalpha; PKCB; PKCB iso2; PKCbeta; PKCC; PKCD; PKCE; PKCG; PKCgamma; PKCH; PKCI(2); PKCI(3); PKCI+/-; PKCL; PKCQ; PKCT; PKCtheta; PRKACA; PRKCA; PRKCB; PRKCB1; PRKCB2; PRKCD; PRKCE; PRKCG; PRKCH; PRKCL; PRKCQ; PRKCT; protein kinase C; protein kinase C alpha; Protein kinase C alpha type; protein kinase C beta; protein kinase C beta 1; Protein kinase C beta type; protein kinase C delta; Protein kinase C delta type; Protein kinase C delta type catalytic subunit; Protein kinase C delta type regulatory subunit; protein kinase C delta VIII; protein kinase C epsilon; Protein kinase C epsilon type; protein kinase C eta; Protein kinase C eta type; protein kinase C gamma; Protein kinase C gamma type; protein kinase C theta; Protein kinase C theta type; protein kinase C, alpha; protein kinase C, beta; protein kinase C, beta 1 polypeptide; protein kinase C, delta; protein kinase C, epsilon; protein kinase C, eta; protein kinase C, gamma; protein kinase C, theta; SCA14; SDK1; Sphingosine-dependent protein kinase-1; Tyrosine-protein kinase PRKCD

    For Research Use Only. Not for Use in Diagnostic Procedures.
    Cell Signaling Technology is a trademark of Cell Signaling Technology, Inc.
    All other trademarks are the property of their respective owners. Visit our Trademark Information page.