Phospho-Scribble (Ser1220) (D8A2) Rabbit Monoclonal Antibody #12316
- WB
Product Specifications
| REACTIVITY | H M |
| SENSITIVITY | Endogenous |
| MW (kDa) | 240 |
| Source/Isotype | Rabbit IgG |
Application Key:
- WB-Western Blotting
Species Cross-Reactivity Key:
- H-Human
- M-Mouse
Product Information
Product Usage Information
| Application | Dilution |
|---|---|
| Western Blotting | 1:1000 |
Storage
Protocol
Specificity / Sensitivity
Species Reactivity:
Source / Purification
Background
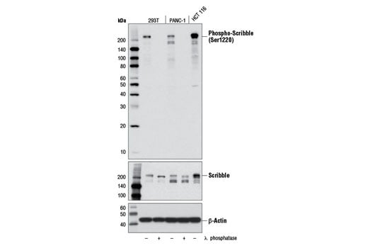
The phosphorylation state of Scribble has been shown to be functionally important, in part by regulating subcellular localization (9). Mass spectrometry studies have identified phosphorylation at Ser1220 as a frequent modification in a variety of cell and tissue types (10-13). The functional significance of this modification remains to be elucidated.
- Bilder, D. and Perrimon, N. (2000) Nature 403, 676-80.
- Bilder, D. et al. (2000) Science 289, 113-6.
- Humbert, P.O. et al. (2008) Oncogene 27, 6888-907.
- Sun, Y. et al. (2009) Mol Biol Cell 20, 3390-400.
- Qin, Y. et al. (2005) J Cell Biol 171, 1061-71.
- Navarro, C. et al. (2005) Oncogene 24, 4330-9.
- Takizawa, S. et al. (2006) Genes Cells 11, 453-64.
- Nguyen, M.L. et al. (2003) J Virol 77, 6957-64.
- Yoshihara, K. et al. (2011) Exp Cell Res 317, 413-22.
- Olsen, J.V. et al. (2010) Sci Signal 3, ra3.
- Han, G. et al. (2010) Electrophoresis 31, 1080-9.
- Brill, L.M. et al. (2009) Cell Stem Cell 5, 204-13.
- Wang, Y.T. et al. (2010) J Proteome Res 9, 5582-97.
Alternate Names
CRIB1; hScrib; KIAA0147; LAP4; Protein LAP4; Protein scribble homolog; SCRB1; SCRIB; SCRIB1; Scribble; scribble planar cell polarity protein; scribbled homolog; scribbled homolog (Drosophila); scribbled planar cell polarity protein; VARTUL
Limited Uses
Except as otherwise expressly agreed in a writing signed by a legally authorized representative of CST, the following terms apply to Products provided by CST, its affiliates or its distributors. Any Customer's terms and conditions that are in addition to, or different from, those contained herein, unless separately accepted in writing by a legally authorized representative of CST, are rejected and are of no force or effect.
Products are labeled with For Research Use Only or a similar labeling statement and have not been approved, cleared, or licensed by the FDA or other regulatory foreign or domestic entity, for any purpose. Customer shall not use any Product for any diagnostic or therapeutic purpose, or otherwise in any manner that conflicts with its labeling statement. Products sold or licensed by CST are provided for Customer as the end-user and solely for research and development uses. Any use of Product for diagnostic, prophylactic or therapeutic purposes, or any purchase of Product for resale (alone or as a component) or other commercial purpose, requires a separate license from CST. Customer shall (a) not sell, license, loan, donate or otherwise transfer or make available any Product to any third party, whether alone or in combination with other materials, or use the Products to manufacture any commercial products, (b) not copy, modify, reverse engineer, decompile, disassemble or otherwise attempt to discover the underlying structure or technology of the Products, or use the Products for the purpose of developing any products or services that would compete with CST products or services, (c) not alter or remove from the Products any trademarks, trade names, logos, patent or copyright notices or markings, (d) use the Products solely in accordance with CST Product Terms of Sale and any applicable documentation, and (e) comply with any license, terms of service or similar agreement with respect to any third party products or services used by Customer in connection with the Products.