UBE2S (D5H9H) Rabbit mAb #11878
- WB
- IP
Product Specifications
REACTIVITY | H M R Mk |
SENSITIVITY | Endogenous |
MW (kDa) | 26 |
Source/Isotype | Rabbit IgG |
Application Key:
- WB-Western Blotting
- IP-Immunoprecipitation
Species Cross-Reactivity Key:
- H-Human
- M-Mouse
- R-Rat
- Mk-Monkey
Product Information
Product Usage Information
Application | Dilution |
---|---|
Western Blotting | 1:1000 |
Immunoprecipitation | 1:100 |
Storage
Protocol
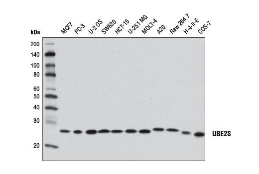
Specificity / Sensitivity
Species Reactivity:
The antigen sequence used to produce this antibody shares 100% sequence homology with the species listed here, but reactivity has not been tested or confirmed to work by CST. Use of this product with these species is not covered under our Product Performance Guarantee.
Species predicted to react based on 100% sequence homology:
Source / Purification
Background
The human anaphase promoting complex (APC/C) is a large macromolecular E3 ligase complex that is largely responsible for timely progression through mitosis via the sequential targeting of cell cycle regulators for proteasomal degradation. Recent work has revealed that APC/C substrates are marked for proteasomal degradation during cell cycle progression through the covalent assembly of Lys11-linked ubiquitin chains, which occurs through a priming phase and an elongation phase (2-5). The APC/C utilizes, in part, the UBE2C/UBCH10 E2 enzyme to prime substrates for degradation through the covalent attachment of short Lys11-linked chains (3,6). The Lys11-specific elongating E2 enzyme, UBE2S/E2-EPF, extends these short chains into long Lys11-linked ubiquitin chains on APC/C bound substrates (2,3,7). In addition to the well-established biochemical role for UBE2S in cell cycle regulation, researchers have found evidence that this enzyme is overexpressed in many types of human cancer (8), and has been implicated in hypoxia signaling (9,10). Indeed, UBE2S has been reported by researchers to associate with VHL and to target it for proteasomal degradation, thereby stabilizing HIF-1α (9).
- Hershko, A. (1988) J Biol Chem 263, 15237-40.
- Williamson, A. et al. (2009) Proc Natl Acad Sci U S A 106, 18213-8.
- Jin, L. et al. (2008) Cell 133, 653-65.
- Wu, T. et al. (2010) Proc Natl Acad Sci U S A 107, 1355-60.
- Song, L. and Rape, M. (2010) Mol Cell 38, 369-82.
- Summers, M.K. et al. (2008) Mol Cell 31, 544-56.
- Wickliffe, K.E. et al. (2011) Cell 144, 769-81.
- Tedesco, D. et al. (2007) Neoplasia 9, 601-13.
- Jung, C.R. et al. (2006) Nat Med 12, 809-16.
- Roos, F.C. et al. (2011) Am J Pathol 178, 853-60.
Alternate Names
E2; UBE2; Ubiquitin Conjugating Enzymes
Limited Uses
Except as otherwise expressly agreed in a writing signed by a legally authorized representative of CST, the following terms apply to Products provided by CST, its affiliates or its distributors. Any Customer's terms and conditions that are in addition to, or different from, those contained herein, unless separately accepted in writing by a legally authorized representative of CST, are rejected and are of no force or effect.
Products are labeled with For Research Use Only or a similar labeling statement and have not been approved, cleared, or licensed by the FDA or other regulatory foreign or domestic entity, for any purpose. Customer shall not use any Product for any diagnostic or therapeutic purpose, or otherwise in any manner that conflicts with its labeling statement. Products sold or licensed by CST are provided for Customer as the end-user and solely for research and development uses. Any use of Product for diagnostic, prophylactic or therapeutic purposes, or any purchase of Product for resale (alone or as a component) or other commercial purpose, requires a separate license from CST. Customer shall (a) not sell, license, loan, donate or otherwise transfer or make available any Product to any third party, whether alone or in combination with other materials, or use the Products to manufacture any commercial products, (b) not copy, modify, reverse engineer, decompile, disassemble or otherwise attempt to discover the underlying structure or technology of the Products, or use the Products for the purpose of developing any products or services that would compete with CST products or services, (c) not alter or remove from the Products any trademarks, trade names, logos, patent or copyright notices or markings, (d) use the Products solely in accordance with CST Product Terms of Sale and any applicable documentation, and (e) comply with any license, terms of service or similar agreement with respect to any third party products or services used by Customer in connection with the Products.