Cell Signaling Technology Logo - Extra Large
1% for the planet logo
Recombinant Flag
Recombinant: Superior lot-to-lot consistency, continuous supply, and animal-free manufacturing.

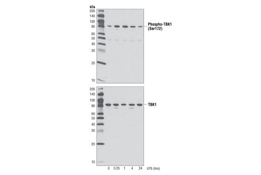
Phospho-TBK1/NAK (Ser172) (D52C2) XP® Rabbit mAb (BSA and Azide Free) #54382

Filter:
  • WB
  • IF
  • F
  • ELISA

    Product Specifications

    REACTIVITY H M R
    SENSITIVITY Endogenous
    MW (kDa) 84
    Source/Isotype Rabbit IgG
    Application Key:
    • WB-Western Blotting 
    • IF-Immunofluorescence 
    • F-Flow Cytometry 
    • ELISA-ELISA 
    Species Cross-Reactivity Key:
    • H-Human 
    • M-Mouse 
    • R-Rat 

    Product Information

    Product Usage Information

    This product is the carrier free version of product #5483. All data were generated using the same antibody clone in the standard formulation which contains BSA and glycerol.

    This formulation is ideal for use with technologies requiring specialized or custom antibody labeling, including fluorophores, metals, lanthanides, and oligonucleotides. It is not recommended for ChIP, ChIP-seq, CUT&RUN or CUT&Tag assays. If you require a carrier free formulation for chromatin profiling, please contact us. Optimal dilutions/concentrations should be determined by the end user.

    BSA and Azide Free antibodies are quality control tested by size exclusion chromatography (SEC) to determine antibody integrity.

    Formulation

    Supplied in 1X PBS (10 mM Na2HPO4, 3 mM KCl, 2 mM KH2PO4, and 140 mM NaCl (pH 7.8)). BSA and Azide Free.

    For standard formulation of this product see product #5483

    Storage

    Store at -20°C. This product will freeze at -20°C so it is recommended to aliquot into single-use vials to avoid multiple freeze/thaw cycles. A slight precipitate may be present and can be dissolved by gently vortexing. This will not interfere with antibody performance.

    Specificity / Sensitivity

    Phospho-TBK1/NAK (Ser172) (D52C2) XP® Rabbit mAb (BSA and Azide Free) detects endogenous levels of TBK1 only when phosphorylated at Ser172. This antibody may cross-react with phospho-IKKε. This antibody lacks sensitivity in fixed frozen mouse tissue by indirect immunofluorescent detection.

    Species Reactivity:

    Human, Mouse, Rat

    The antigen sequence used to produce this antibody shares 100% sequence homology with the species listed here, but reactivity has not been tested or confirmed to work by CST. Use of this product with these species is not covered under our Product Performance Guarantee.

    Species predicted to react based on 100% sequence homology:

    Monkey, Xenopus, Bovine, Dog

    Source / Purification

    Monoclonal antibody is prepared from animals immunized with a synthetic phosphopeptide corresponding to residues surrounding Ser172 of human TBK1.

    Background

    TBK1 (TANK-binding kinase 1)/NAK (NF-κB activating kinase) is an IκB kinase (IKK)-activating kinase and can activate IKK through direct phosphorylation (1). TBK1 was identified through association with the TRAF binding protein, TANK, and found to function upstream of NIK and IKK in the activation of NF-κB (2). TBK1 induces IκB degradation and NF-κB activity through IKKβ. TBK1 may mediate IKK and NF-κB activation in response to growth factors that stimulate PKCε activity (1). TBK1 plays a pivotal role in the activation of IRF3 in the innate immune response (3).

    TBK1 is phosphorylated at Ser172 within its activation loop, which is necessary of its kinase activity including the downstream phosphorylation of IRF3 (4,5).
    For Research Use Only. Not for Use in Diagnostic Procedures.
    Cell Signaling Technology is a trademark of Cell Signaling Technology, Inc.
    XP is a registered trademark of Cell Signaling Technology, Inc.
    All other trademarks are the property of their respective owners. Visit our Trademark Information page.