Cell Signaling Technology Logo - Extra Large
1% for the planet logo
Trial Size Available Flag
Recombinant Flag
Recombinant: Superior lot-to-lot consistency, continuous supply, and animal-free manufacturing.

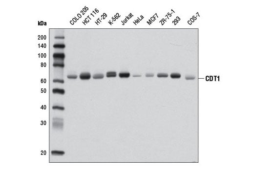
CDT1 (D10F11) Rabbit mAb #8064

Filter:
  • WB
  • IP
  • IF

    Product Specifications

    REACTIVITY H Mk
    SENSITIVITY Endogenous
    MW (kDa) 65
    Source/Isotype Rabbit IgG
    Application Key:
    • WB-Western Blotting 
    • IP-Immunoprecipitation 
    • IF-Immunofluorescence 
    Species Cross-Reactivity Key:
    • H-Human 
    • Mk-Monkey 

    Product Information

    Product Usage Information

    Application Dilution
    Western Blotting 1:1000
    Immunoprecipitation 1:200
    Immunofluorescence (Immunocytochemistry) 1:200

    Storage

    Supplied in 10 mM sodium HEPES (pH 7.5), 150 mM NaCl, 100 µg/ml BSA, 50% glycerol and less than 0.02% sodium azide. Store at –20°C. Do not aliquot the antibody.

    For a carrier free (BSA and azide free) version of this product see product #25211.

    Protocol

    Specificity / Sensitivity

    CDT1 (D10F11) Rabbit mAb recognizes endogenous levels of total CDT1 protein.

    Species Reactivity:

    Human, Monkey

    Source / Purification

    Monoclonal antibody is produced by immunizing animals with a synthetic peptide corresponding to residues surrounding Pro57 of human CDT1 protein.

    Background

    The initiation of DNA replication in mammalian cells is a highly coordinated process that ensures duplication of the genome only once per cell division cycle. Origins of replication are dispersed throughout the genome, and their activities are regulated via the sequential binding of prereplication and replication factors. The origin recognition complex (ORC) is thought to be bound to chromatin throughout the cell cycle (1,2). The prereplication complex (Pre-RC) forms in late mitosis/early G1 phase beginning with the binding of CDT1 and cdc6 to the origin, which allows binding of the heterohexameric MCM2-7 complex. The MCM complex is thought to be the replicative helicase, and formation of the pre-RC is referred to as chromatin licensing. Subsequent initiation of DNA replication requires the activation of the S-phase promoting kinases CDK2 and cdc7. Cdc7, which is active only in complex with its regulatory subunit dbf4, phosphorylates MCM proteins bound to chromatin and allows binding of the replication factor cdc45 and DNA polymerase (3,4).
    Binding of CDT1 to geminin prevents pre-RC formation, and expression and degradation of geminin serve to regulate CDT1 activity (reviewed in 5). The interaction of CDT1 with MCM proteins is important in pre-RC formation and licensing (6,7). Both cdc6 and CDT1 are degraded by the ubiquitin proteasome pathway in response to DNA damage associated with rereplication (8).
    For Research Use Only. Not for Use in Diagnostic Procedures.
    Cell Signaling Technology is a trademark of Cell Signaling Technology, Inc.
    All other trademarks are the property of their respective owners. Visit our Trademark Information page.