Cell Signaling Technology Logo - Extra Large
1% for the planet logo

FastScan β-Amyloid (1-40) ELISA Kit #20882

Filter:
  • ELISA

Important Ordering Details

Custom Ordering Details:

If kit quantities from the same lot are needed in unlisted sizes, contact us for processing time and pricing.

Looking for this ELISA kit in a 384-well format? Inquire for availability, processing time, and pricing.

    Product Specifications

    REACTIVITY H
    Application Key:
    • ELISA-ELISA 
    Species Cross-Reactivity Key:
    • H-Human 

    Product Information

    Product Description

    The FastScan™ β-Amyloid (1-40) ELISA Kit is a sandwich enzyme-linked immunosorbent assay (ELISA) that detects endogenous levels of the Aβ-40 isoform of β-amyloid. To perform the assay, sample is incubated with a capture antibody conjugated with a proprietary tag and a second detection antibody linked to HRP, forming a sandwich with Aβ-40 in solution. This entire complex is immobilized to the plate via an anti-tag antibody. The wells are then washed to remove unbound material. TMB is then added. The magnitude of observed signal is proportional to the quantity of Aβ-40.

    *Antibodies in this kit are custom formulations specific to kit.

    Protocol

    Specificity / Sensitivity

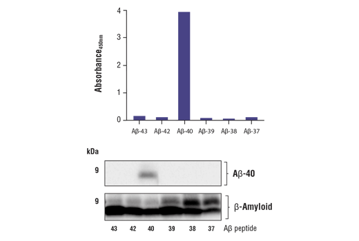
    The FastScan™ β-Amyloid (1-40) ELISA Kit detects endogenous levels of the Aβ-40 isoform of the β-amyloid peptides, as shown in Figure 1. This kit detects proteins from the indicated species, as determined through in-house testing, but may also detect homologous proteins from other species.

    Species Reactivity:

    Human

    Background

    Amyloid β (Aβ) precursor protein (APP) is a 100-140 kDa transmembrane glycoprotein that exists as several isoforms (1). The amino acid sequence of APP contains the amyloid domain, which can be released by a two-step proteolytic cleavage (1). The extracellular deposition and accumulation of the released Aβ fragments form the main components of amyloid plaques in Alzheimer's disease (1). APP can be phosphorylated at several sites, which may affect the proteolytic processing and secretion of this protein (2-5). Phosphorylation at Thr668 (a position corresponding to the APP695 isoform) by cyclin-dependent kinase is cell-cycle dependent and peaks during G2/M phase (4). APP phosphorylated at Thr668 exists in adult rat brain and correlates with cultured neuronal differentiation (5,6).

    Alternate Names

    cell based assay; cell-based assay; sandwich elisa; screening

    For Research Use Only. Not for Use in Diagnostic Procedures.
    Cell Signaling Technology is a trademark of Cell Signaling Technology, Inc.
    FastScan™ ELISA is a registered trademark of Cell Signaling Technology, Inc.
    U.S. Patents 9,086,407, 9,261,500, and 9,476,874, foreign equivalents, and child patents deriving therefrom.
    All other trademarks are the property of their respective owners. Visit our Trademark Information page.