Cell Signaling Technology Logo - Extra Large
1% for the planet logo
Recombinant Flag
Recombinant: Superior lot-to-lot consistency, continuous supply, and animal-free manufacturing.

Phospho-Histone H3 (Ser10) (D2C8) XP® Rabbit mAb (Biotinylated) #3642

Filter:
  • WB

    Product Specifications

    REACTIVITY H M R Mk Z
    SENSITIVITY Endogenous
    MW (kDa) 17
    Source/Isotype Rabbit IgG
    Application Key:
    • WB-Western Blotting 
    Species Cross-Reactivity Key:
    • H-Human 
    • M-Mouse 
    • R-Rat 
    • Mk-Monkey 
    • Z-Zebrafish 

    Product Information

    Product Description

    This Cell Signaling Technology antibody is conjugated to biotin under optimal conditions. The unconjugated Phospho-Histone H3 (Ser10) (D2C8) XP® Rabbit mAb #3377 reacts with phospho-histone H3 (Ser10) from human, mouse, rat, and monkey. CST expects that Phospho-Histone H3 (Ser10) (D2C8) XP® Rabbit mAb (Biotinylated) will also recognize phospho-histone H3 (Ser10) in these species.
    MW (kDa) 17

    Product Usage Information

    Application Dilution
    Western Blotting 1:1000

    Storage

    Supplied in 140 mM NaCl, 3 mM KCI, 10 mM sodium phosphate (pH 7.4) dibasic, 2 mM potassium phosphate monobasic, 2 mg/mL BSA, and 50% glycerol. Store at –20°C. Do not aliquot the antibody.

    Protocol

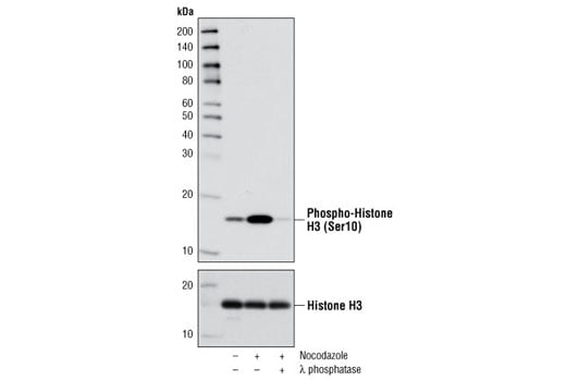
    Specificity / Sensitivity

    Phospho-Histone H3 (Ser10) (D2C8) XP® Rabbit mAb (Biotinylated) detects endogenous levels of histone H3 only when phosphorylated at Ser10.

    Species Reactivity:

    Human, Mouse, Rat, Monkey, Zebrafish

    Source / Purification

    Monoclonal antibody is produced by immunizing animals with a synthetic phosphopeptide corresponding to residues surrounding Ser10 of human histone H3.

    Background

    Modulation of chromatin structure plays an important role in the regulation of transcription in eukaryotes. The nucleosome, made up of DNA wound around eight core histone proteins (two each of H2A, H2B, H3, and H4), is the primary building block of chromatin (1). The amino-terminal tails of core histones undergo various posttranslational modifications, including acetylation, phosphorylation, methylation, and ubiquitination (2-5). These modifications occur in response to various stimuli and have a direct effect on the accessibility of chromatin to transcription factors and, therefore, gene expression (6). In most species, histone H2B is primarily acetylated at Lys5, 12, 15, and 20 (4,7). Histone H3 is primarily acetylated at Lys9, 14, 18, 23, 27, and 56. Acetylation of H3 at Lys9 appears to have a dominant role in histone deposition and chromatin assembly in some organisms (2,3). Phosphorylation at Ser10, Ser28, and Thr11 of histone H3 is tightly correlated with chromosome condensation during both mitosis and meiosis (8-10). Phosphorylation at Thr3 of histone H3 is highly conserved among many species and is catalyzed by the kinase haspin. Immunostaining with phospho-specific antibodies in mammalian cells reveals mitotic phosphorylation at Thr3 of H3 in prophase and its dephosphorylation during anaphase (11).
    For Research Use Only. Not for Use in Diagnostic Procedures.
    Cell Signaling Technology is a trademark of Cell Signaling Technology, Inc.
    XP is a registered trademark of Cell Signaling Technology, Inc.
    All other trademarks are the property of their respective owners. Visit our Trademark Information page.