Cell Signaling Technology Logo - Extra Large
Recombinant Flag
Recombinant: Superior lot-to-lot consistency, continuous supply, and animal-free manufacturing.

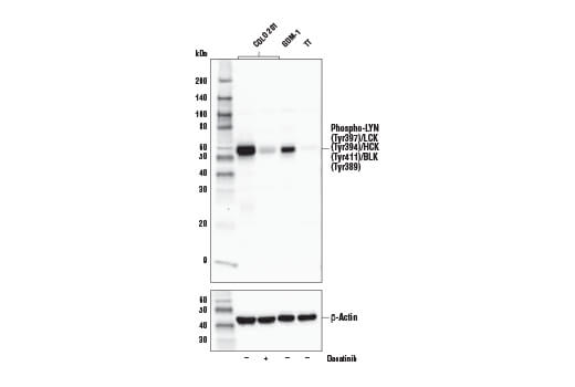
Phospho-LYN (Tyr397)/LCK (Tyr394)/HCK (Tyr411)/BLK (Tyr389) (E5L3D) Rabbit Monoclonal Antibody (BSA and Azide Free) #46717

Filter:
  • WB
  • F

    Product Specifications

    REACTIVITY H M
    SENSITIVITY Endogenous
    MW (kDa) 60
    Source/Isotype Rabbit IgG
    Application Key:
    • WB-Western Blotting 
    • F-Flow Cytometry 
    Species Cross-Reactivity Key:
    • H-Human 
    • M-Mouse 

    Product Information

    Product Usage Information

    This product is the carrier free version of product #70926. All data were generated using the same antibody clone in the standard formulation which contains BSA and glycerol.

    This formulation is ideal for use with technologies requiring specialized or custom antibody labeling, including fluorophores, metals, lanthanides, and oligonucleotides. It is not recommended for ChIP, ChIP-seq, CUT&RUN or CUT&Tag assays. If you require a carrier free formulation for chromatin profiling, please contact us. Optimal dilutions/concentrations should be determined by the end user.

    BSA and Azide Free antibodies are quality control tested by size exclusion chromatography (SEC) to determine antibody integrity.

    Formulation

    Supplied in 1X PBS (10 mM Na2HPO4, 3 mM KCl, 2 mM KH2PO4, and 140 mM NaCl (pH 7.8)). BSA and Azide Free.

    For standard formulation of this product see product #70926

    Storage

    Store at -20°C. This product will freeze at -20°C so it is recommended to aliquot into single-use vials to avoid multiple freeze/thaw cycles. A slight precipitate may be present and can be dissolved by gently vortexing. This will not interfere with antibody performance.

    Specificity / Sensitivity

    Phospho-LYN (Tyr397)/LCK (Tyr394)/HCK (Tyr411)/BLK (Tyr389) (E5L3D) Rabbit Monoclonal Antibody (BSA and Azide Free) detects endogenous levels of LYN, LCK, HCK, and BLK only when phosphorylated at Tyr397, Tyr394, Tyr411, and Tyr389, respectively. This antibody may cross react with overexpressed phosphorylated Src, YES, FYN, and FGR.

    Species Reactivity:

    Human, Mouse

    Source / Purification

    Monoclonal antibody is produced by immunizing animals with a synthetic phosphopeptide corresponding to residues surrounding Tyr397 of human LYN protein.

    Background

    The Src family of protein tyrosine kinases, which includes Src, Lyn, Fyn, Yes, Lck, Blk, and Hck, are important in the regulation of growth and differentiation of eukaryotic cells (1). Src activity is regulated by tyrosine phosphorylation at two sites, but with opposing effects. While phosphorylation at Tyr416 in the activation loop of the kinase domain upregulates enzyme activity, phosphorylation at Tyr530 in the carboxy-terminal tail by Csk renders the enzyme less active (2).

    Alternate Names

    ASV; c-SRC; c-syn protooncogene; c-yes; cellular yes-1 protein; FLJ26625; FYN; FYN oncogene related to SRC, FGR, YES; FYN proto-oncogene, Src family tyrosine kinase; HCK; HCK proto-oncogene, Src family tyrosine kinase; Hematopoietic cell kinase; Hemopoietic cell kinase; HsT441; IMD22; JTK8; JTK9; LCK; LCK proto-oncogene, Src family tyrosine kinase; Lck/Yes-related novel protein tyrosine kinase; Leukocyte C-terminal Src kinase; LSK; Lymphocyte cell-specific protein-tyrosine kinase; lymphocyte-specific protein tyrosine kinase; LYN; LYN proto-oncogene, Src family tyrosine kinase; MGC45350; OKT3-induced calcium influx regulator; p53Lyn; p56-LCK; p56(LSTRA) protein-tyrosine kinase; p56lck; p56Lyn; p59-Fyn; p59-HCK/p60-HCK; p59Hck; p60-Src; p61-Yes; p61Hck; pp58lck; pp60c-src; Protein YT16; protein-tyrosine kinase fyn; Proto-oncogene c-Fyn; Proto-oncogene c-Src; Proto-oncogene c-Yes; Proto-oncogene Lck; Proto-oncogene Syn; proto-oncogene tyrosine-protein kinase fyn; proto-oncogene tyrosine-protein kinase LCK; Proto-oncogene tyrosine-protein kinase Src; Proto-oncogene tyrosine-protein kinase Yes; protooncogene SRC, Rous sarcoma; SLK; SRC; SRC proto-oncogene, non-receptor tyrosine kinase; src-like kinase; src/yes-related novel; SRC1; SYN; T cell-specific protein-tyrosine kinase; T-lymphocyte specific protein tyrosine kinase p56lck; THC6; tyrosine kinase p59fyn(T); tyrosine kinase pp60c-src; Tyrosine-protein kinase Fyn; Tyrosine-protein kinase HCK; Tyrosine-protein kinase Lck; Tyrosine-protein kinase Lyn; tyrosine-protein kinase SRC-1; Tyrosine-protein kinase Yes; v-src avian sarcoma (Schmidt-Ruppin A-2) viral oncogene homolog; v-src sarcoma (Schmidt-Ruppin A-2) viral oncogene homolog (avian); v-yes-1 Yamaguchi sarcoma viral oncogene homolog 1; v-yes-1 Yamaguchi sarcoma viral related oncogene homolog; viral oncogene yes-1 homolog 1; Yamaguchi sarcoma oncogene; Yamaguchi sarcoma viral (v-yes-1) related oncogene homolog; YES; YES proto-oncogene 1, Src family tyrosine kinase; YES1; YES1 proto-oncogene, Src family tyrosine kinase; YT16

    For Research Use Only. Not for Use in Diagnostic Procedures.
    Cell Signaling Technology is a trademark of Cell Signaling Technology, Inc.
    All other trademarks are the property of their respective owners. Visit our Trademark Information page.